Clinical and pathological analysis of non-epithelial tumours of the genitourinary system: A single centre experience

Sevda Dalar, Gülsüm Ceren Civcan, Esma Çınar, Birgül Tok, İlkay Çınar, Özge Aydın, Hülya Öksüz Kabadayı, Kıvanç Yılmaz, Demet Şengül

  • Year : 2025
  • Vol : 41
  • Issue : 4
  •  Page : 205-210
Objective: While the majority of tumours in the genitourinary system originate from epithelial origin, non-epithelial tumours constitute only a minor subset. This study was conducted to improve diagnostic approaches for these rare tumours and to emphasize their impact on patient outcomes. Materials and Methods: The patient records of patients who underwent genitourinary system biopsy between 2021 and 2023 were accessed from the hospital database. Patients diagnosed as epithelial tumour or non-neoplastic tissue according to histopathological evaluation were excluded from the study. Demographic data of patients diagnosed with non-epithelial tumours were obtained from the hospital database and tumour-related data were obtained from pathology reports.
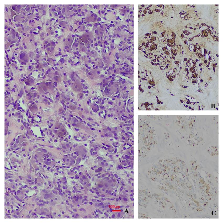
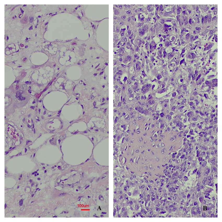
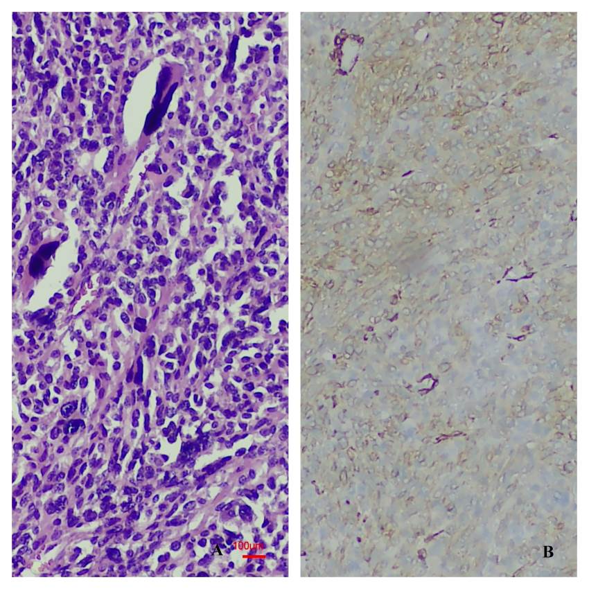
Results: During the specified period, a total of 20 patients were identified, most of whom were male. The kidney was the most frequently affected site. Malignant tumours were diagnosed in 11 patients, and benign tumours in 9. Leiomyosarcoma was the most common malignant tumour, while angiomyolipoma was the most frequently observed benign tumour. Other malignant tumours included rhabdomyosarcoma, liposarcoma, undifferentiated pleomorphic sarcoma, paraganglioma, malignant solitary fibrous tumour, and diffuse large B-cell lymphoma. Benign tumours included angioleiomyoma, schwannoma, renomedullary interstitial cell tumour, leiomyoma, and angiofibroma. Surgical procedures varied depending on tumour type and included excisional biopsy, partial resection, and radical resection. During the follow-up period (ranging from 1 to 38 months), survival was achieved in all patients with benign tumours, whereas three patients with malignant tumours died.
Conclusion: Non-epithelial tumours of the genitourinary system are rare and display significant histological heterogeneity. Definitive diagnosis relies on histopathological evaluation. Appropriate diagnostic and therapeutic strategies may significantly influence patient survival.
Cite this Article As : Dalar S, Civcan GC, Esma Cinar E, Tok B, Cinar I, Aydin O, Oksuz Kabadayi H, Yilmaz K, Sengul D. Clinical and Pathological Analysis of Non-Epithelial Tumours of the Genitourinary System: A Single Centre Experience. Selcuk Med J 2025;41(4): 205-210

Download Citation: Endnote/Zotero/Mendeley (RIS) RIS File

Download Citation: BibTeX BibTeX File

Description : None of the authors, any product mentioned in this article, does not have a material interest in the device or drug. Research, not supported by any external organization. grant full access to the primary data and, if requested by the magazine they agree to allow the examination of data.
Clinical and pathological analysis of non-epithelial tumours of the genitourinary system: A single centre experience
, Vol. 41 (4)
Received : 20.03.2025, Accepted : 28.08.2025, Published Online : 11.12.2025
Selcuk Medical Journal
ISSN:1017-6616;
E-ISSN:2149-8059;