APENDİKSTE ENDOMETRİOZİS: NADİR KARŞILAŞILAN İKİ OLGU VE LİTERATÜRÜN GÖZDEN GEÇİRİLMESİ

ZELİHA ÇELİK

  • Yıl : 2026
  • Cilt : 42
  • Sayı : 1
  •  Sayfa : 90-93
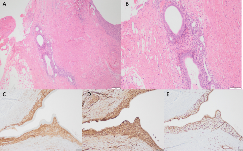
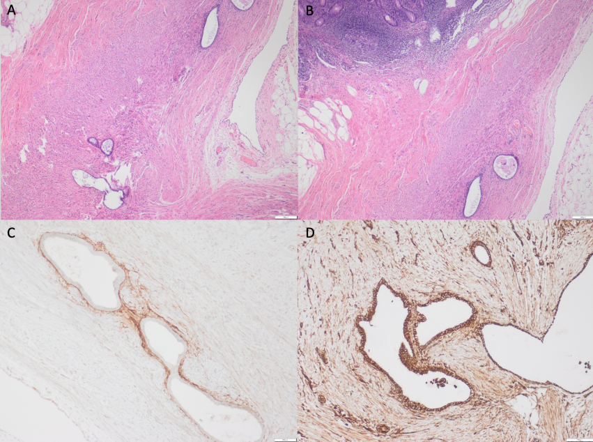
Endometriozis, endometriyal bezlerin ve stromanın uterusun duvarı ve kavitesi dışında varlığı olarak tanımlanır. Apendiks endometriozisi ilk olarak 1860 yılında von
Rokitansky tarafından tanımlanmıştır. Apendiks endometriozisi oldukça nadir görülen bir durumdur ve gastrointestinal sistem endometriozis olgularının çok küçük bir
kısmını oluşturur. Endometriozisin patogenezine ilişkin üç ana teori vardır: implantasyon ve retrograd menstrüasyon, çölomik metaplazi ve hematolojik veya lenfatik
metastaz. Bilinen bir tıbbi öyküsü olmayan, karın ağrısı ile başvuran 26 yaşında kadın hasta ve adet düzensizliği ile başvuran, herhangi bir bilinen tıbbi sorunu olmayan
50 yaşında kadın hasta sunulmuştur. Apendektomi örneklerinin histopatolojik incelemelerinde endometriozis odakları tespit edilmiştir. Apendiks endometriozisi,
endometriozisli hastalarda nispeten nadir olmakla birlikte, genel popülasyonda daha da nadirdir. Sadece akut ve kronik apendisit semptomlarına neden olmakla
kalmaz, aynı zamanda döngüsel ve kronik sağ alt kadran ağrısı, melena, alt bağırsak kanaması, çekum invajinasyonuna neden olduğu bilinmektedir. Apendisit ayırıcı
tanısında düşünülmelidir. Bu benign durumun tanınması, yanlış tanı ve gereksiz agresif tedavilerin önlenmesi açısından önemlidir.
Atıf yapmak için : Celik Z. Endometriosis of the Appendix: Two Rarely Encountered Cases and Review of the Literature. Selcuk Med J 2026;42(1): 90-93

Download Citation: Endnote/Zotero/Mendeley (RIS) RIS File

Download Citation: BibTeX BibTeX File

Açıklama : Yazarların hiçbiri, bu makalede bahsedilen herhangi bir ürün, aygıt veya ilaç ile ilgili maddi çıkar ilişkisine sahip değildir. Araştırma, herhangi bir dış organizasyon tarafından desteklenmedi.Yazarlar çalışmanın birincil verilerine tam erişim izni vermek ve derginin talep ettiği takdirde verileri incelemesine izin vermeyi kabul etmektedirler.
APENDİKSTE ENDOMETRİOZİS: NADİR KARŞILAŞILAN İKİ OLGU VE LİTERATÜRÜN GÖZDEN GEÇİRİLMESİ
, Vol. 42 (1)
Geliş Tarihi : 14.10.2025, Kabul Tarihi : 12.12.2025, Yayın Tarihi : 18.03.2026
Selçuk Tıp Dergisi
ISSN:1017-6616;
E-ISSN:2149-8059;