The Evaluation of Nasal Polyps in Terms Of Cigarette Smoking, Proliferative Processes, and Inflammation: Cross-Sectional Study

ETHEM ÖMEROĞLU, AYŞE NUR UĞUR KILINÇ, Zeynep BAYRAMOĞLU, MD, YAŞAR ÜNLÜ

  • Yıl : 2025
  • Cilt : 41
  • Sayı : 3
  •  Sayfa : 142-151
ÖZ
Amaç:
Bu çalışmada Türk toplumunda Nazal poliplerin (NP) sigara içimi, proliferatif süreçler ve enflamasyon ile ilişkisini histopatolojik ve klinik parametreler doğrultusunda detaylı bir şekilde değerlendirmeyi amaçladık.
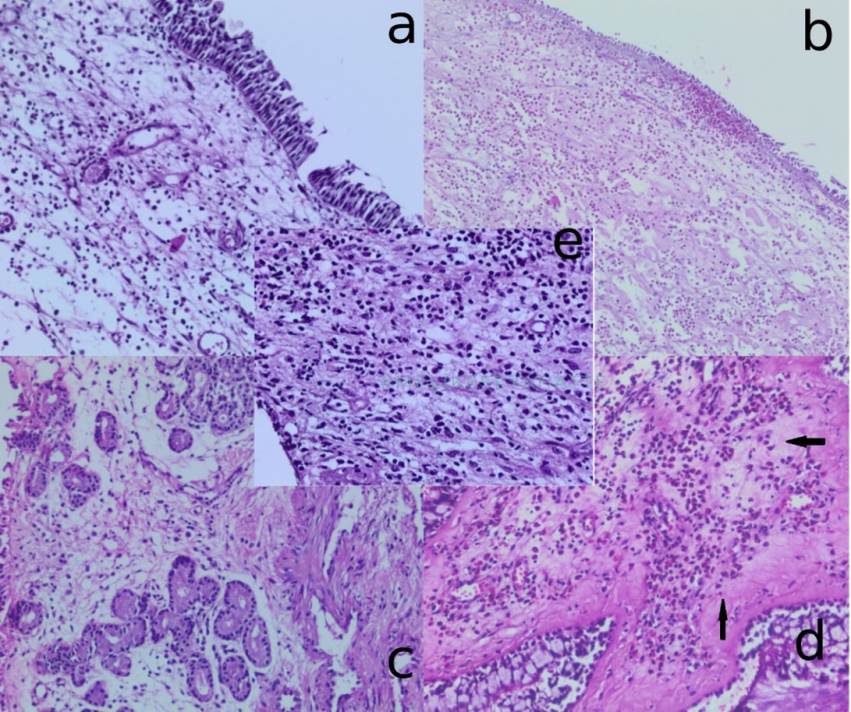
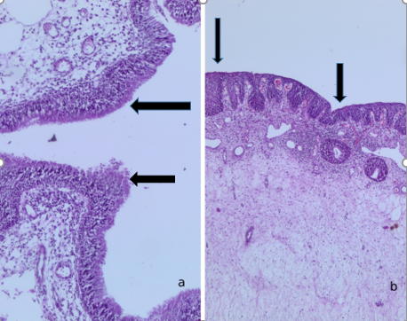
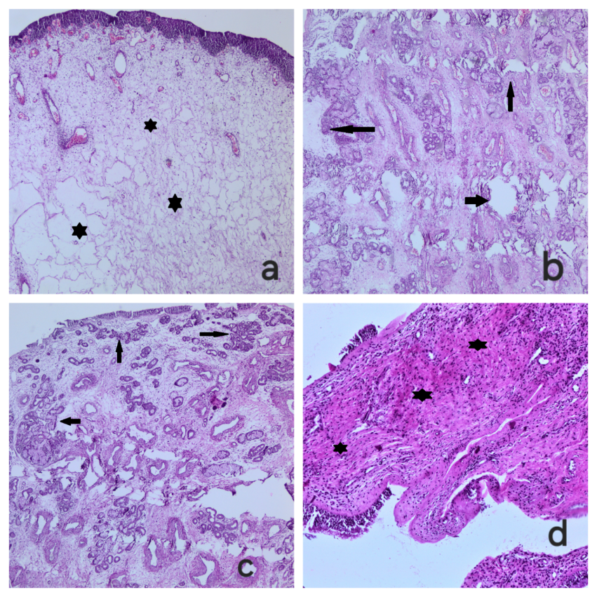
Gereçler ve Yöntem: Mart-Ağustos 2021 tarihleri arasında hastanemizde endoskopik sinüs cerrahisi yapılan 36’sı erkek, 19’u kadın toplam 55 nazal polip hastasının patolojik materyalleri incelendi. Hematoksilin ve Eozin (H&E) boyama ile histolojik alt tipler skuamöz metaplazi, epiteliyal hiperplazi gibi histolojik değişikliklerin değerlendirilmesi yapıldı. Ayrıca eozinofil, nötrofil, lenfosit oranları ve yoğunluğu gibi çeşitli inflamatuar durumları değerlendirildi. Bununla birlikte, dokularda sigara içimi ile ilgili gelişebilecek proliferatif değişiklikler immünohistokimya (İHK) yöntemi ile Ki-67 ve p53 boyama değerlendirmeleri yapılarak araştırıldı. Hastane sisteminden elde edilen klinik bilgiler, laboratuvar sonuçları ve Lund-Mackay sınıflaması verileri dahil edildi. Çalışmada R 4.2.2 programı kullanılarak Ki-Kare ve Fisher testleri ile T-testi analizleri gerçekleştirildi.
Bulgular: Hastaların yaş ortalaması 37,22±16.96’dir. Bunlardan 34’ü (61,82%) sigara içmezken, 21’i (38,18%) sigara içmekteydi. Sonuçlarımızda sigara içenlerde ve Lund-Mackay sınıflaması puanı yüksek olanlarda eozinofilik infiltrasyon ile anlamlı bir ilişki gösterdi (p<0.05). Ayrıca, Lund-Mackay puanı yüksek olanlarda eozinofilik ve lenfoplazmositik inflamasyon türleri ile de anlamlı korelasyon saptandı (p<0.05). Nazal poliplerde skuamöz metaplazinin bulunması ile Ki-67 ve p53 immünhistokimyasal boyanma skorları arasında anlamlı ilişki bulunurken, epiteliyal hiperplazi ile bu değerler arasında ilişki bulunmadı.
Sonuç: Çalışmamızda nazal polip hastalarında sigara içimi ile Lund-Mackay sınıflaması sonuçları, inflamasyon tipi ve eozinofilik inflamasyon arasında ilişkiyi gösterdik. Ayrıca, proliferatif belirteçler olan Ki-67 ve p53 bulguları ile metaplazik değişiklikler ve epitel hiperplazi gelişimi arasında korelasyon tespit edildi. Türk toplumunda NP'lerdeki eozinofilik inflamasyon dereceleri Asya ve Avrupa toplumları arasında bir noktada olduğu sonucuna varıldı.
Anahtar Kelimeler: Nazal polip, proliferatif süreç, sigara içimi, Ki-67, p53
Atıf yapmak için : Omeroglu E, Ugur Kilinc AN, Bayramoglu Z, Unlu Y. The Evaluation of Nasal Polyps in Terms of Smoking, Proliferative Processes, and Inflammation: Cross-Sectional Study. Selcuk Med J 2025;41(3): 142-151

Download Citation: Endnote/Zotero/Mendeley (RIS) RIS File

Download Citation: BibTeX BibTeX File

Açıklama : Yazarların hiçbiri, bu makalede bahsedilen herhangi bir ürün, aygıt veya ilaç ile ilgili maddi çıkar ilişkisine sahip değildir. Araştırma, herhangi bir dış organizasyon tarafından desteklenmedi.Yazarlar çalışmanın birincil verilerine tam erişim izni vermek ve derginin talep ettiği takdirde verileri incelemesine izin vermeyi kabul etmektedirler.
The Evaluation of Nasal Polyps in Terms Of Cigarette Smoking, Proliferative Processes, and Inflammation: Cross-Sectional Study
, Vol. 41 (3)
Geliş Tarihi : 17.08.2025, Kabul Tarihi : 25.09.2025, Yayın Tarihi : 28.09.2025
Selçuk Tıp Dergisi
ISSN:1017-6616;
E-ISSN:2149-8059;